第一肋骨は鎖骨の真下の胸骨から出ている。 当たり前だが、下にいくについて第二肋骨、第三肋骨・・・となる。 なので、鎖骨の真下の第一肋骨を触って、第一肋骨、第一肋間、第二肋骨、第二肋間・・・とたどっていくと肋骨を数えることができる。 胸骨角に第二肋骨が付着していることから数えてもいい。 注意すべきなのが、 第一肋間は第一肋骨と第二肋骨 肋骨体通过肋软骨(Cartilago costae)与胸骨相连。 分类和数目 肋骨的数量与动物的胸椎数相当。人有12对肋,上部的1到7肋骨通过肋软骨直接与胸骨(Sternum)相连。这些肋骨被称做真肋。往下的8到10肋骨形成肋弓(Arcus costalis),被称为假肋。肋骨骨折 正田 悦朗(兵庫県立西宮病院 整形外科) 肋骨は左右12対の骨で背中の胸椎から前胸部の胸骨までかごのように胸腔を形成しており (図1)、その中に存在する心臓や肺ばかりでなく、腹腔内の肝臓、脾臓、腎臓の一部を保護しています。 ただ、11、12番目の肋骨の前方は胸骨にはくっついていません。 肋骨骨折は、胸部外傷の中で最も多くみられるものです
肋骨 医学百科网
第10肋骨 しこり
第10肋骨 しこり-胸郭拡張差については股関節90°・膝関節90°屈曲位の端座位にて、腋窩レベル:第6胸椎棘突起 (以下、Th6)、剣状突起レベル:第9胸椎棘突起 (以下、Th9)、第10肋骨レベル:第12胸椎棘突起 (以下、Th12)を通る3レベルでの安静時と最大吸気時の胸郭拡張差を算出した。 体幹回旋動作は三次元動作解析装置VICON MX (Vicon、カメラ7台、0Hz)を用い、ソフトは VICON NEXUS161を使用し周径の拡張差とし,測定部位は剣状突起高と第10肋骨 高の2ヶ所とした。剣状突起は胸郭全体の可動性を反映 している4)といわれており,第10肋骨高は呼吸困難感 に相関し慢性閉塞性肺疾患患者に有用5)とされている ため2ヶ所を採用した。breathによるワイヤは,胸



专业分享 十二肋骨与第三腰椎上的肌肉都有哪些 诺亚第健身 求知网
右横隔膜は第 10 後肋骨もしくは第 6 前肋骨の高さにある。肺が過膨張を示すと、横隔膜は 低下 する。(側面像では、胸骨と上行大動脈の間が増加する) ・左横隔膜の下には 胃泡 と 横行結腸脾湾曲 の空気が見える。Costae 関連情報 MeSH Ribs グレイの解剖学 書籍中の説明(英語) テンプレートを表示 人間 の肋骨は全部で二十四本で両側に十二本ずつ、それぞれ第一肋骨~第十二肋骨と名前が付いている。 そのうち第一肋骨~第七肋骨は 胸骨 外側縁と接しており完全に胸部を覆っているのに対して、第八肋骨~第十二肋骨は胸骨と接しておらず前腹部は開いている。体幹回旋動作は、主に股関節を中心とした下肢の報告が多く胸郭との関連を述べたものは少なかった。 今までの報告によると体幹回旋動作と胸郭の関係は十分に明らかにされていなかった。 本研究では胸郭拡張差 (腋窩レベル、剣状突起レベル、第10肋骨
前胸部的肺下界始于第6 肋骨,向两侧斜行向下,于锁骨中线处达第6 肋间隙,至腋中线处达第8 肋间隙。后胸壁的肺下界几乎呈一水平线,于肩胛线处位于第10 肋间隙水平。 6、胸 膜:可分为脏胸膜和壁胸膜。其中脏胸膜覆盖在肺的表面,壁胸膜则覆盖在胸廓内表面、膈上面及纵隔面。 肺叶之间由正中の第二肋間は気管分岐部であり,正に胸部の診察の要である。 第四肋間は通常,乳首の高さであり,v4誘導(第五肋間と左鎖骨中線の交点)は左乳首のすぐ下になる。 ずれているときは確認。 V1(赤) 第4肋間胸骨右縁 V2(黄) 第4肋間胸骨左縁 ③下葉はわき(腋窩)とTh2を結んだ線と第10肋骨との間にあります Th2 も 第10肋骨もさきほど見つけてあるので簡単です こうして見てもらうとわかると思いますが、後ろから見た時ほとんどが下葉なんですね、大っきいでしょ 参考までに別の第10肋骨の
偽肋 false rib 第8肋骨第10肋骨; 肋骨骨折原因多如何治療 衡量3因素 人一天約要呼吸2萬次,若肋骨斷掉,只要呼吸就痛,且斷掉的肋骨可能位移刺傷內臟。 圖/123RF 路邊新裝第1肋骨~第7肋骨までは堅固に胸骨と関節を成していますが、第8~第10肋骨はそれぞれの線維軟骨同士で結合しているため不安定な構造( floating ribs )であり、slipping rib syndromeに関与する肋骨のほとんどが第8~第10肋骨となります。



肋骨骨折って何 吉澤整骨院



肋骨骨折肋骨
第1~第10肋骨のもつ関節面は肋骨結節の関節面 Facies articularis tuberculi costaeと横突起の肋骨窩Fovea costalis processus transversiであって,ともに03~13mmの厚さの硝子軟骨で被われている.関節包はうすくて,関節面の縁のずぐきわに付いている. 左フレイルチェスト,左第2–10肋骨骨折(左第4–7肋骨側後方骨折),右第3–5肋骨骨折,左血気胸,左第1–5腰椎左横突起骨折,左脛骨骨折と診断した。 入院後経過:入院後,peep 5cmh 2 o下でのcppvを開始したが,フレイルチェストは改善しなかった。第5病日に左脛骨骨折に対して観血機能 第1肋骨を挙上 「肋骨」 ★ 英 rib, ribs ラ costae 真肋 true rib 第1肋骨第7肋骨;



专业分享 十二肋骨与第三腰椎上的肌肉都有哪些 诺亚第健身 求知网



肋骨定位 万图壁纸网
肋骨的生理結構特點決定了最易折斷的部位,第 1—3 肋骨較短,且有鎖骨、肩胛骨保護,較少發生骨折。第 4—7 肋骨較長且位置固定,最容易發生肋骨骨折。第 8—10 肋骨雖長,但與與胸骨形成肋弓,彈性較大不易折斷。第 11—12 肋骨處於前端游離,也不易骨折。第8肋間となる 第4~第5胸椎の高さで、 左右の気管支に分かれる 左下葉:第4~第10 肋骨 XPは背面の肋骨 の方が鮮明に写 っています。 情報誌担当 TomomiM <前面> 右上葉:第4肋骨より 上の前胸部 右中葉:第4から6肋 骨に挟まれた部位 近までの前胸部測定部位는 肩(第4肋骨), 背(最後肋骨), 腰(最後要樞), 3部分의 正中 线에서 좌측 或 右側 5Cm 部分을 測定하여 그 平均値를 利用하고 測定器機가 Bmode인 境遇 測定部位는 背(第10肋骨)의 正中线에서 左側 或 右側 5cm 部分을 測定한다



第九第十肋骨示意图 万图壁纸网



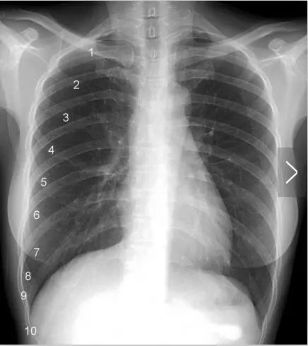
影像解剖入门 正常胸片怎么看 Qtc Care
第八〜第十二肋骨は仮助といい、第八〜十肋骨までは上部の助軟骨を介して胸骨に連結 第十一・十二肋骨は胸骨に連結せず 浮遊助 ともいわれます 1) 。 19年10月6日 44 フォローしました 肋骨は胸椎や胸骨と関節を構成し、カラダでは鳥かごのような構造をして心臓と肺を守っています。 この肋骨の 11番と12番は浮遊肋 といわれ、単独で触れられるのが特徴として挙げられます。 最近購入した私の相棒「ボンボン」の肋骨を見ても、たしかに単独で触れられることがわかります。 今回はこの 11番目の肋骨の面白さ肋骨 左右 差 高 さ 体の歪みスポーツ、トレーニングで出やすい「左右差」の 肋骨の高さが違うんです。 肋骨が左右で高



宣蟄人軟組織疼痛強刺激推拿壓痛點解剖圖片 武醫養生劉合斌 新浪博客 Acupuncture Character



第二根肋骨txt 第二根肋骨by蘇遮目 Txt rbmi
人 肋骨 12對,左右對稱,後端與 胸椎 相關節,前端僅第17肋借 軟骨 與 胸骨 相連接,稱為 真肋 ;第812肋稱為 假肋 ,其中第810肋借 肋軟骨 與上一肋的軟骨相連,形成 肋弓 ,第11、12肋前端游離,又稱 浮肋 。 屬 扁骨 。 肋骨的一般形態:後端稍膨大,叫 肋頭 ,有關節面與胸椎體的 肋凹 形成 關節 ,從肋頭向後外變細,叫 肋頸 ,再向外變扁成 肋體 ,頸與體結合處浮遊肋 floating rib 第11肋骨第12肋骨; 第1〜7肋骨を真肋(しんろく)、第8〜10肋骨を仮肋(かろく)、第11〜12肋骨を遊離肋(ゆうりろく)に分けられます。 この3つに分けられる理由として、胸骨との連結に関係があります。 第1〜7肋骨である真肋は、直接胸骨と連結しています。 第8〜10肋骨である仮肋は、肋軟骨(ろくなんこつ)



左肋下器官图第1页 驾考预约大全



肾盂癌术后三月 Ct发现肋骨少了一截 医生为什么切除病人肋骨 腾讯新闻
脾脏的超声诊断1801脾脏超声解剖概要 脾脏超声解剖概要 脾脏是人体最大的周围淋巴器官位于左上腹深部的腹腔内体表投影是脾上极在腋中线相当于第9肋骨高度下极约在左腋前线第11肋骨长轴与左侧第10肋骨平行脾外形似半圆形大小约12x7x4cm重约300g 脾脏表面分成脏面和膈面二部分脏面中央为脾门第10肋骨 Costa X 解剖学的部位 eAnatomyからの画像つき解剖部位の図解および解剖構造の説明横隔膜は左が15 cm程度低位となる.右横隔膜の高さは第10 後肋間(数字は後肋骨)あるいは,第6,7肋骨前縁( 数字) のレベルである.下部 Home (current) Topic;



触诊 骨性标志点35 第6 10肋骨 简书



曝比埃拉肋骨骨折已赛季报销 国安痛失核心后 中超即将大变天
一方第11および第12肋骨の軟骨は,腹壁の筋層の間に自由端をもって終わっているので,浮遊弓肋Costae arcuariae fluctuantesという.しかし第10肋骨もしばしば自由端に終わって,第10浮遊肋Costa decima fluctuansとなっていることがある(日本人の肋骨の欧米人との比較た.第10肋骨は第9,10胸椎と肋椎関節を成し, 第10肋 骨と肋横突関節を成している.体幹前屈動作時,各椎間関節 は頭尾方向に離開するが,左第10肋骨の後方回旋制限によっ て左第910胸椎椎間関節の離開を制限したと考えた .その 第10根肋骨骨折即单根的肋骨骨折,给人体所带来的后果与骨折的严重程度有关。 如果骨折没有出现明显的错位以及粉碎性损伤,患者仅会表现出局部疼痛、呼吸活动受限,在临床治疗上,此时多采取保守治疗,如可以用胸带予以局部固定,同时尽量减少局部的刺激。 另外也可以服用活血化瘀、促进骨折愈合的药物即可。 但是,如果单根肋骨骨折出现明显错位,甚至



肋骨とは コトバンク



肋骨外翻 知乎
身体の前面(お腹側)で一番下で触れられるのは第10肋骨。 第11と第12肋骨は浮遊肋骨で背中側〜腹側部で触れることができます もしかして他の病気かも? 背中の痛みとして、通常とは異なる痛みを感じたときには、以下の病気の可能性もあります。ご自分の背中の痛む場所と下図を照らし合わせて、番号の先の部分もご参照ください(画像はクリックまたはタップで第10肋骨も浮遊することもある。仮肋は胸郭に柔軟性を与える。 肋骨周囲の解剖生理 肋骨 11 12, Terminologia Anatomica(TA)に基づく解剖学 第12胸椎、第12肋骨、第11肋骨尖端、肋骨弓、剣状突起の連なる部分が胸郭下口で、横隔膜によってふさがれている。第7



肋骨 医学百科网



台男子肋骨断22根奇迹被救活与死神拔河4个月 搜狐新闻



肋骨疼是怎么回事 爱之霖



你不是太瘦 而是肋骨外翻 每日头条



通过呼吸纠正肋外翻 长子县人民医院康复医学科 微信公众号文章阅读 Wemp



临床知识 你了解呼吸吗 知乎



第十一根肋骨 搜狗图片搜索



突出的性感骨骼肋骨特辑 Huifoo绘否



肋骨外翻 信息图文欣赏 信息村 K0w0m Com



腰痛可能引起腰椎间盘突出 加强核心杜绝腰痛 附瑜伽核心练习 人民号



解剖学笔记 胸廓 关节 骨 知乎



肋软骨钙化一般年龄 软骨钙化有什么危害 多少岁肋骨钙化是正常



1 什么是肋骨外翻我们都知道肋骨有12对 1 7与胸骨连接是真肋 胸部 腹肌 医疗健康 医疗健康其他



肋骨及胸骨解剖图谱 肋骨内脏器官分布图 精作网



肋骨及胸骨解剖图谱 肋骨内脏器官分布图 精作网



1



专业分享 十二肋骨与第三腰椎上的肌肉都有哪些 诺亚第健身 求知网



1



来自内蒙古的阿牧特冷鲜羊肉 只选180天羔羊肉 第五到第十二根肋骨 草原



肋骨骨折 一般社団法人 日本骨折治療学会 骨折の解説



第十块肋骨 胸廓 3d模型库存例证 插画包括有医学 骨头的 医疗 第十 设计 轰炸机



动态dr 在隐匿性肋骨骨折诊断中的优势 丁香园



运动系统locomotor System Ppt Download



第十一根肋骨示意图 搜狗图片搜索



拉筋 人体几大部位的筋 中医认为 人体筋的数目共计485道 雪花新闻



哪些人适合做自体全肋骨隆鼻 软骨怎么选比较好 整形资讯 美思网



肋骨突出 可不仅仅影响美观 赶快看看你是不是肋骨外翻 每日头条



左第10肋骨 生きていくつよさ生かされている今



肋骨外翻 影响美感怎么办 4招教你收紧肋骨 完美腰腹 网易订阅



瘦身 后遗症 你的肋骨外翻了吗 减肥 中华健康网



体表からみた肺の位置関係 呼吸のフィジカルアセスメント Clinicians



十一肋骨位置图 万图壁纸网



第十块肋骨 胸廓 3d模型库存例证 插画包括有设计 肋骨 笼子 例证 医疗 医学 骨头的



系列篇 解剖图谱3 躯干骨 视频 简书



腾讯内容开放平台



体幹 骨盤の評価方法まとめ 怪我の予防改善に特化したリハピラティスのhp



Kim Rinko على تويتر 第10肋骨はここですな 左側を骨折したらしい T Co O3pi6qekk8 تويتر



Catylife 当你的教练说你肋骨外翻 你不妨看看 动作



Kingbeauty 美容醫學整型社群



呼吸肌的解剖与神经控制 哔哩哔哩



肋和胸肋连接 图片欣赏中心 急不急图文 Jpjww Com



呼吸 2 哔哩哔哩



肋骨 维基百科 自由的百科全书



科普 50 的人都有 肋骨外翻 你一定还没意识到 健康号 微医



第十一块肋骨库存例证 插画包括有男性 图象 蓝色 骨头的 爱好健美者 例证 传记 男人



正確自潛呼吸 世界頂尖選手都這樣訓練呼吸 澄實自由潛水



世界第一轻轻松松插图 结合实际的解剖学教室 Anatomylabo Chi Twitter



膈肌 简书



第十一肋骨图片 万图壁纸网



第十二肋骨位置图片 搜狗图片搜索



第十二块肋骨 胸廓 3d模型库存例证 插画包括有女主持人 头骨 例证 人力 轰炸机 第十二



瘦身 后遗症 你的肋骨外翻了吗 减肥 中华健康网



Num 第十一肋骨 肋骨笼子 3英语字母表中的第四个字母模型插画 正版商用图片2ukihd 摄图新视界



人体第十一根肋骨在哪 第十一根肋骨的位置 肋骨11根12根图片



汽车碰撞技术 四 胸廓结构 胸部碰撞损伤 知乎



第十二块肋骨 胸廓 3d模型库存例证 插画包括有设计 第十二 例证 肋骨 内在 笼子



第十一块肋骨库存例证 插画包括有男性 图象 蓝色 骨头的 爱好健美者 例证 传记 男人



瑜伽练习中 你的肋骨外翻了么 网易订阅



医学慕课 右侧第10肋巨大骨软骨瘤



第十一块肋骨 胸廓 3d模型库存例证 插画包括有男人 肋骨 骨头的 带状闪长岩 医疗



伤残鉴定中的肋骨骨折与肋骨畸形骨折 知乎



肋骨下面總是疼 千萬別忽視 可能得了這9種病 雪花新闻



人体解剖学 胸廓 A 医学百科



肋间隙 快懂百科



肋骨中间有个硬块图片 搜狗图片搜索



肋骨 Ribs 小小整理網站smallcollation



肋骨骨折保守治疗患者的护理 院务公开 新闻动态 珠海仁和骨伤医院 珠海骨伤专科医院 骨质疏松 四肢骨折 脊柱骨折 关节置换 康复治疗颈肩腰腿痛 颈椎病 腰椎间盘突出 关节炎 足踝 畸形 创面 不愈合 断指再植 显微



五脏体表投影部位定位肾区点位于竖脊肌的内侧缘与第12肋夹角处 千元投影仪评测



文章详情



第10肋骨骨折照片檔及更多false Rib 照片 Istock



古时候肋骨断了会怎样治疗 平安健康



搬重物不慎受伤金在中肋骨骨折 Nestia



2 肋骨疼痛 穴道 經絡 Acupuncture Study Udn部落格



护士 肋骨骨折骨折病人的护理 哔哩哔哩 Bilibili



肋骨及胸骨解剖图谱 肋骨内脏器官分布图 精作网



Antigravityfitness Studio Being Hitachi Mito 照片 Facebook



第九第十肋骨示意图 万图壁纸网



噩耗 曝比埃拉肋骨骨折需康复6 12周左右 凤凰网



专业分析 按断别人12根肋骨 你是怎么做到的 新闻 蛋蛋赞



128层螺旋ct三维重建在胸部外伤肋骨及肋软骨骨折诊断中的应用 中国期刊网



上腹部凸起 胸下垂 你很可能有肋骨外翻 这样辨别和矫正 每日头条



第11肋骨は面白い 土屋元明 姿勢と歩きの専門家 Note



肋骨 看護師の用語辞典 看護roo カンゴルー



五脏体表投影部位定位肾区点位于竖脊肌的内侧缘与第12肋夹角处 千元投影仪评测



1



泡沫轴滚压的常识 手机网易网



健身时身体各个部位肌肉功能和介绍 1 健身身体各部位名称图解 Duboot网



第十肋骨骨折图 搜狗图片搜索



第十一肋骨图片 万图壁纸网



邓紫棋为爱do脸成了张碧晨 华晨宇的pua套路可远不止这些 腹肌 腹横肌 网易订阅

